En amerikansk læge lagde et røntgenfoto af en lille dreng op på Twitter.
Og så stillede han et uskyldigt spørgsmål med et alt andet end uskyldigt svar.
Del:
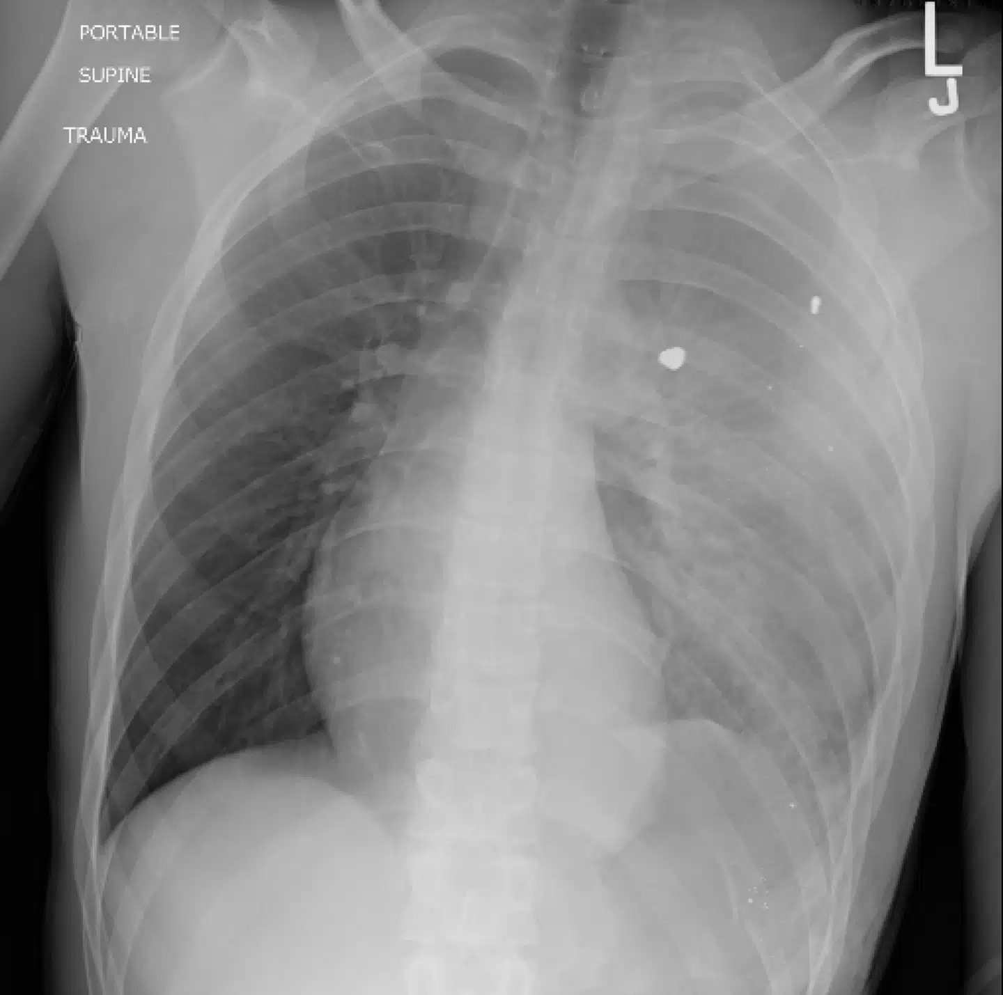
En læge lagde et røntgenfoto af en lille drengs bryst op på Twitter og fortalte, at drengen led af den hyppigste dødsårsag blandt amerikanske børn. »Hvad er diagnosen,« spurgte han i det virale tweet.

En amerikansk læge lagde et røntgenfoto af en lille dreng op på Twitter.
Og så stillede han et uskyldigt spørgsmål med et alt andet end uskyldigt svar.