Du kan følge din hjerterytme. Måle din puls. Ja, smartwatches og fitnessure kan vise ganske mange ting.
Men en nyt studie viser en tidlig indikation på, at der også kan være ulemper ved at bruge dem.
Flere af de målinger, der bruges til at kunne levere sundhedsdata her og nu, laves ved hjælp af bioimpedans, hvor man måler den elektriske modstand i kroppens væv.
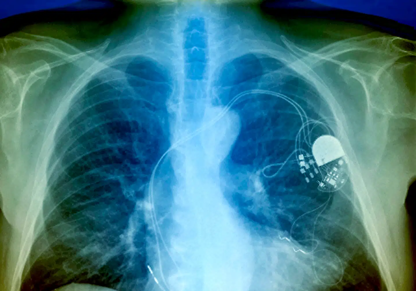
Det er et »rødt flag«, som vedrører de hjertepatienter, som har pacemaker eller indopereret hjertestarter (ICD). Det skriver Ingeniøren.
For nogle af de sensorer, der måler det, og som er hyppigt brugte i både smartwatches og fitnessure, udsender tre gange så mere spænding, som producenterne tillader, og overskrider både deres og myndighedernes tærskelværdier.
Det sker, fordi fedtvævet gør, at signalet møder modstand, skriver mediet på baggrund af et nyt studie, der er udgivet i det videnskabelige tidsskrift Heart Rhytm Journal. Her er det blevet peer-reviewed, hvilket betyder, at det er bedømt af andre fagfæller.
På baggrund af studiet peges der på flere mulige konsekvenser: Pacemakeren kan stoppe med at virke i en periode, og de indopererede hjertestartere kan blive forvirret til at tro, at der er noget galt med patientens hjerterytme og give et unødigt stød.
»Studiet hejser et rødt flag. Vi har simuleret efter myndighedernes (FDA, red.) retningslinjer, og disse gadgets forstyrrer den korrekte funktion af implanterbart udstyr til brug i hjertet,« siger en af medforfatterne, Benjamin Sanchez Terrones, som er elektroingeniør og forsker ved University of Utah, til mediet.
FDA er betegnelsen for de amerikanske lægemiddelmyndigheder.
Medforfatteren understreger, at der skal flere test til, før man kan sige mere om, hvorvidt der er tale om et reelt problem for hjertepatienter.
Pas på iPhone og lang lægekø
Men selvom studiet er blandt de første af slagsen, er det ikke første gang, teknologi viser sig at kunne have negative konsekvenser. Der har både været problemer med lægekøer og iPhone 12.
For nylig viste en undersøgelse, at et flere danskere er begyndt at tage sundhedsdata med til lægen, fordi de bliver »forfærdeligt bekymrede og kontakter deres læge, når de ikke forstår tallene i deres fitnessure«, lød det fra Bolette Friderichsen, der er formand for Dansk Selskab for Almen Medicin.
»Dels optager det pladser fra folk, der rent faktisk er syge, dels risikerer vi, at det bidrager til overdiagnostik.«
For to år siden var der også problemer med elektroniske enheder, da Apple måtte gå ud og advare personer med pacemaker eller indopereret hjertestarter mod at bruge iPhone 12, da telefonen indeholder meget kraftige magneter.
Derfor skal man helst holde en iPhone 12 mindst 15 centimeter fra enheden, skrev DR dengang. Har man en af Apples egne trådløse opladere kaldet MagSafe, skal man holde den 30 centimeter væk – den kraftige magnet kan nemlig betyde, at man ikke får det stød, man skal bruge.




