Danske lægers breakdance-bule går verden rundt: For mange headspins gav kegleformet hoved
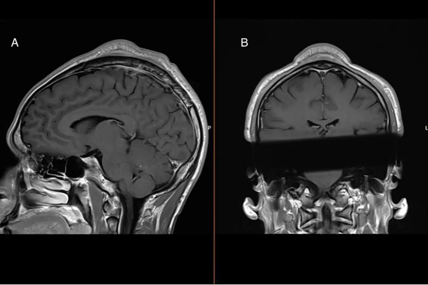
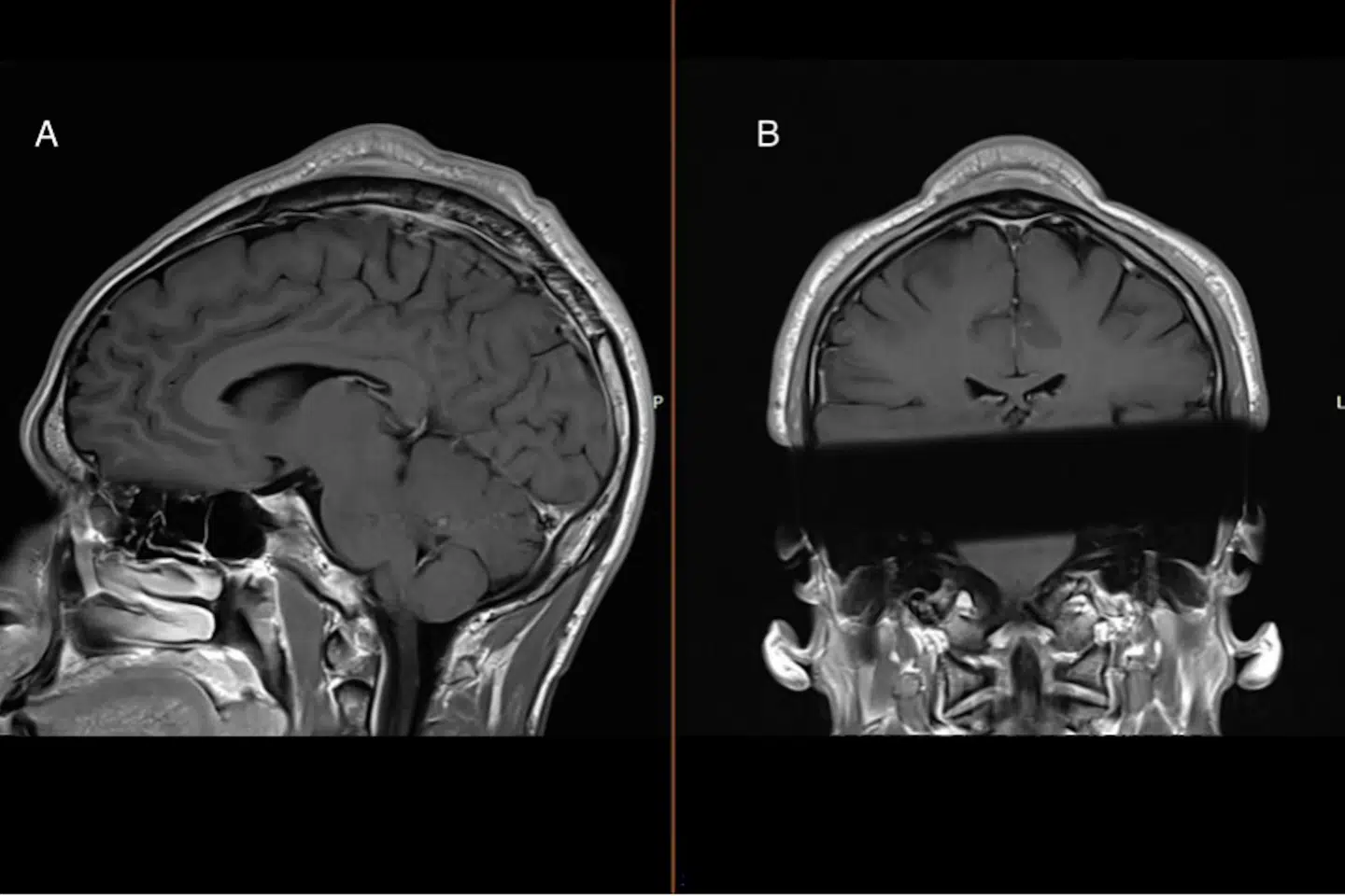
Danske læger har beskrevet et opsigtsvækkende fænomen, der trækker overskrifter verden over.

Danske læger har beskrevet et opsigtsvækkende fænomen, der trækker overskrifter verden over.

I 19 år havde den 30-årige danske mand drejet rundt på sit hoved som en fast del af sin dansetræning.
Men det skulle vise sig at få konsekvenser.