Selvom Madeleine Paldo er 100 år, er hendes hjerne langt friskere end det.
Den passer til en krop, der var tre årtier yngre, vurderer eksperter.
Del:
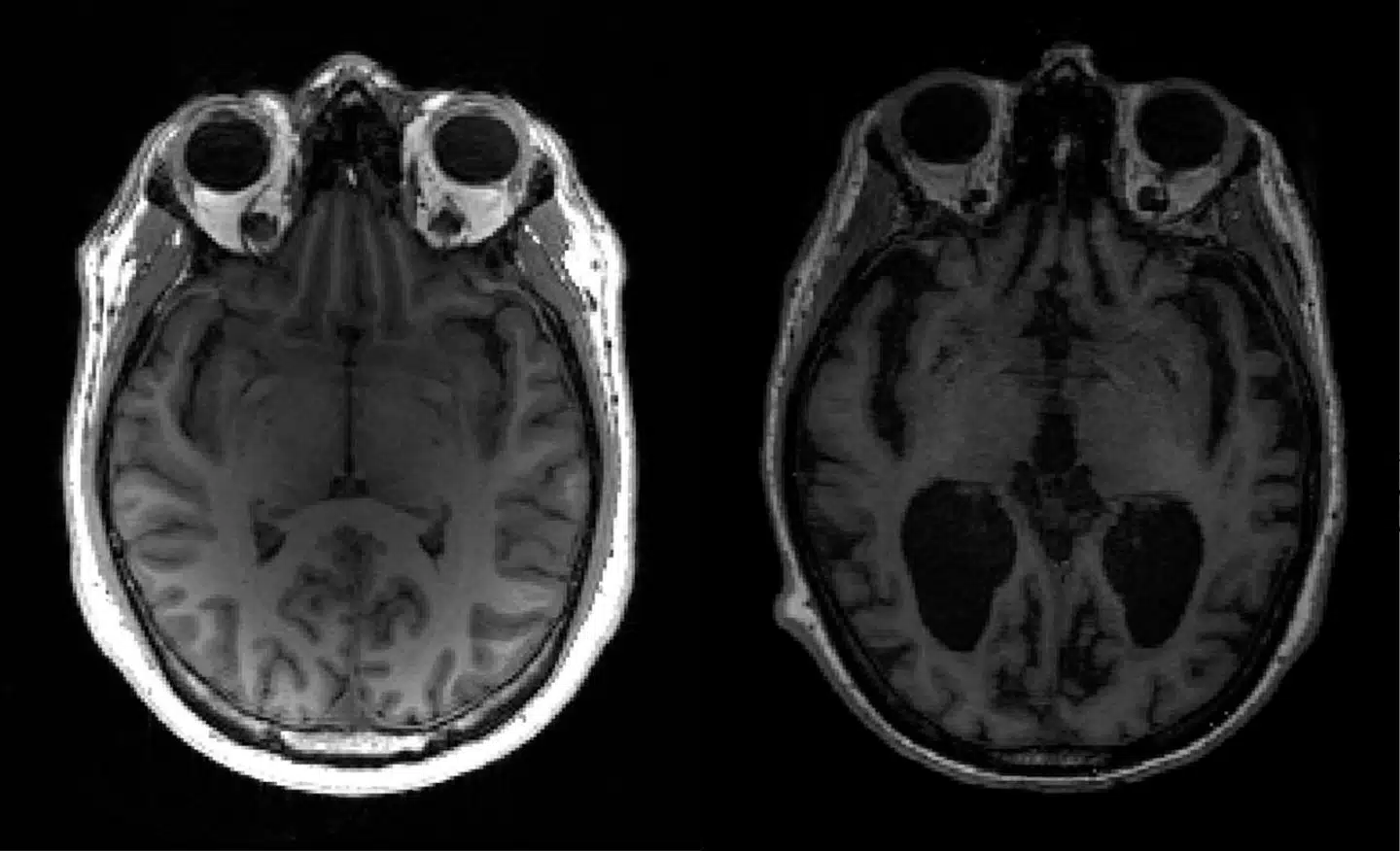
100-årige Madeline Paldo og 85-årige Carol Siegler har langt bedre hjerner end de fleste på deres alder. De er en del af en helt særlig gruppe kaldet »superseniorer«. Forskere har i et årti forsøgt at gennemskue, hvad der er så specielt ved disse ældre – særligt én ting går igen, lyder det fra forskerne.

Selvom Madeleine Paldo er 100 år, er hendes hjerne langt friskere end det.
Den passer til en krop, der var tre årtier yngre, vurderer eksperter.